• Haberler
  • Asayiş
  • İran uyruklu zanlı, yuttuğu 48 paket eroini hastanede bir haftada çıkardı

İran uyruklu zanlı, yuttuğu 48 paket eroini hastanede bir haftada çıkardı

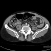
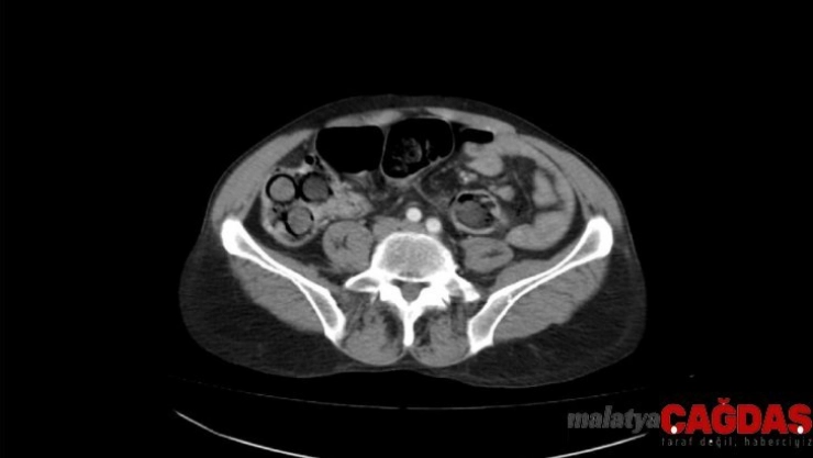
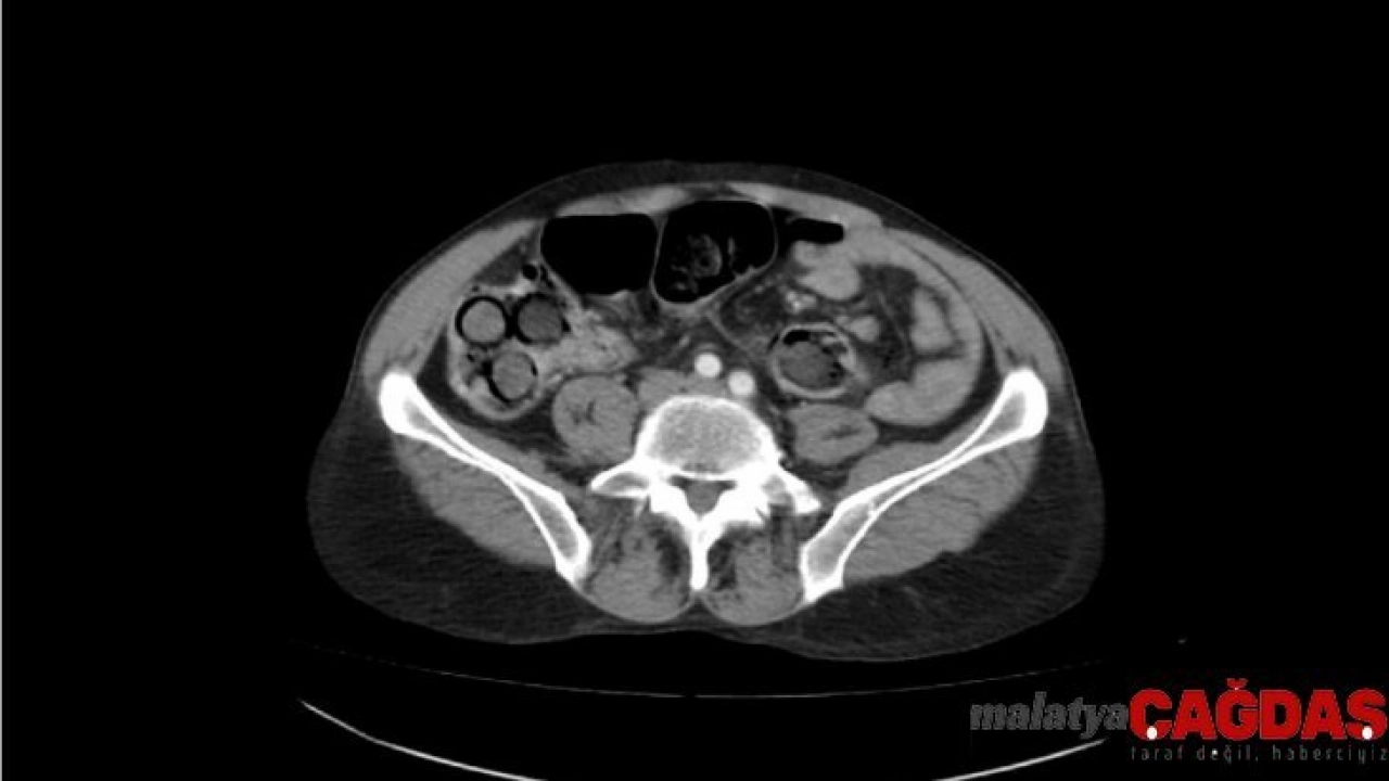
Adana Havalimanında yakalanan, mide ile bağırsağında 49 pakette 775 gram eroin olduğu tespit edilen İranlı kurye, paketleri hastanede tam bir haftada özel ilaçla gözetim altında tek tek çıkardı. Taburcu olan şahıs tutuklandı.

Adana Havalimanında yakalanan, mide ile bağırsağında 49 pakette 775 gram eroin olduğu tespit edilen İranlı kurye, paketleri hastanede tam bir haftada özel ilaçla gözetim altında tek tek çıkardı. Taburcu olan şahıs tutuklandı.

Edinilen bilgiye göre olay, 21 Aralık günü Adana Havalimanında meydana geldi. İddiaya göre, Adana Emniyet Müdürlüğü Narkotik Suçlarla Mücadele Şube Müdürlüğünün havalimanında bekleyen sivil ekipler, Van’dan gelen İran uyruklu Seddigh Raşhıdıtavana (58) isimli şahsın hareketlerinden şüphelendi. Polis, şahsı biraz takip edip daha sonra durdurarak arama yaptı. Ancak herhangi bir suç unsuru bulunmadı. Polisin arama yaptığı sırada şahsın sürekli terlemesinden şüphelenen polis, daha önce birçok İran uyruklu şahsın uyuşturucu sevkiyatını mide ve bağırsağında yaptığını bilerek bu durumdan şüphelendi. Bunun üzerine şahıs gözaltına alınarak hastaneye götürüldü.

"Önce tomografi sonra endoskopi"

Polis, şahsın midesinde eroin olabileceğinden şüphelenip hemen hastanenin gastroenteroloji bölümüne götürdü. Burada tomografisi çekilen midede, sosis büyüklüğünde paketler tespit edildi. Ancak polis, emin olmak için daha sonra şahsa endoskopi işlemi de yaptırdı. Bu sayede ucunda ışıklı küçük bir kamera bulunan ve endoskopi adı verilen bir cihaz yardımıyla şahsın yemek borusu, mide, onikiparmak bağırsağı ve kalın bağırsaklarında 49 paket sosis büyüklüğünde paketler olduğu kesinleşti.

"Özel bir ilaç verilerek tuvalet yoluyla bir haftada çıktı"

21 Aralık günü hastaneye getirilen mide ve bağırsağında 49 paket tespit edilen zanlıya özel bir ilaç verildi. Bu sayede zanlı, tuvalete çıkması sağlanarak paketler tek tek çıktı. Bu sırada bir polis görevlisi ise zanlının başından ayrılmadı. Bir hafta sonra zanlının mide ve bağırsağındaki bütün paketler çıktı. Paketler çıktıktan sonra zanlı bir kez daha endoskopiye girerek başka paket olup olmadığı kontrol edildi. Emniyete götürülen zanlının sorgusunda, İran’da eroinleri 15,8 gramlar halinde 49 paket yapıp poşete sarıp zeytin yağına batırdıktan sonra su yardımıyla tek tek yuttuğunu söylediği öğrenildi. Sorgusunun ardından adliyeye sevk edilen zanlı, çıkarıldığı nöbetçi sulh ceza mahkemesi tarafından tutuklandı.

Bu arada sokakta uyuşturucu sattığı öne sürülen 3 zanlı da yakalanıp adliyeye sevk edildi.

Bakmadan Geçme

Malatya Çağdaş Haber - Bizi Sosyal Medyada Takip Edin!
WhatsApp İhbar Hattı
0 532 155 92 03
ÇEKİN, GÖNDERİN, YAYINLAYALIM!